71岁的庄阿姨从来没有想过,自己“小小”的肩膀痛会这么严重,老年人年纪大了身体总会有这样或那样的不舒服,庄阿姨也没太当回事。但是随着右肩部疼痛得越来越厉害,庄阿姨才不得不去县医院就诊。医生诊断是肩周炎,建议庄阿姨注意锻炼即可。
但后来庄阿姨的疼痛感不减反增,这才找到了我院关节外科薛恩兴副主任医师。薛主任诊断,庄阿姨这是“巨大肩袖陈旧性撕裂并肩关节骨性关节炎”,需手术治疗。
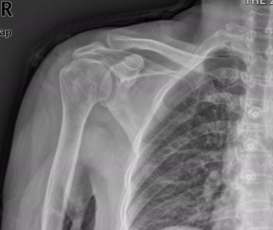
但庄阿姨一听要手术连连拒绝,又回去了。这一拖又是一年,今年3月份,庄阿姨肩关节长期疼痛难忍,甚至已严重影响日常生活,才再次找到薛主任。其术前X线片提示:“右肱骨头向上半脱位,右肩关节退行性病变”;术前MRI提示:“右肩巨大肩袖撕裂,冈上肌脂肪浸润,右肱骨头上移,关节腔积液”。


薛恩兴副主任医师在美国进修期间掌握反球型人工肩关节置换术(简称反肩关节置换手术)。因此经反复讨论研究及与患者沟通,最终决定选择克服困难,为其实施该手术。
什么是反肩关节置换手术
反式肩关节置换术是一项复杂、技术难度较高的手术。反肩关节置换手术原理是通过将肱骨头与肩胛盂的球臼接触关系面反转调换,从而将肩关节旋转中心内移,以此增加三角肌力臂,并增加三角肌的力矩,由此来替代肩关节启动外展时肩袖所提供的下压肱骨头作用,以帮助上臂完成外展动作。因此主要适用于伴有肩袖功能缺失的肩关节骨性关节炎老年患者。它不同于传统的肩关节置换术,具有更广泛的临床疗效。
技术难度
反球型人工肩关节置换术操作上有一定难度。主要是由于肩胛盂位置较深,前面有喙突阻挡,外侧有肱骨头阻挡,显露非常困难;且紧贴肩胛盂下缘为上肢主要神经、血管通过界面,如何适度松解关节囊并使肩关节脱位、如何充分暴露肩胛盂并保护臂丛神经及血管不受医源性损伤,对技术要求较高。
成功完成我市首例反肩关节置换手术
经过精心准备,我院骨科薛恩兴副主任医师团队成功完成我院首例反肩关节置换手术。通过反球型人工肩关节置换,解除了困扰患者长达一年的病痛。患者术后6天出院。术后4周门诊随访,恢复良好,并表示对疗效满意。



反式肩关节置换术作为老年性肩关节疾病的有效治疗手段在欧美等国家已经开展20余年,国内则处于引进起步阶段,目前浙江省仅少数医院开展,温州地区尚属首例。
(关节外科供稿 编辑|党办 汪青青)
↑点击上方照片可以预约挂号