医院新闻
【医疗动态】国内罕见!温医附二院成功实施胸椎孔镜下高难度手术

作者:栾晨曦 来源:温州医科大学附属第二医院 发布时间:2016/8/31 8:31:00

近日,温州医科大学附属第二医院疼痛科占恭豪团队又有创新,巧妙利用孔镜技术成功地为一例胸椎间盘突出症患者实施了胸椎间盘髓核摘除术,患者多年的烦躁、胸痛,气促等病症终于消失,手术获得了圆满成功。

41岁的何女士,温州人,十年前有跌倒病史,之后反复出现胸部放射痛、气促现象,尤其对外界声音敏感,声响稍大,上述症状会加重,并且有心烦意乱感,睡眠质量下降。到处求医各大医院的心血管内科,五官科等,反复检查未见异常。

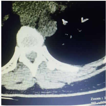
后来何女士打听到温医大二院疼痛科的微创技术国内一流,于822日就诊温医附属二院疼痛科占恭豪门诊。占主任接诊后仔细询问病史,反复琢磨病情,耐心地解读何女士的磁共振片MRICT检查片,最终诊断其为“胸椎间盘突出症”,确诊患者的病症是“胸7至胸8椎间盘突出压迫神经根”所致,于是在824日为何女士实施了胸椎孔镜的微创手术。经过两个小时的努力,手术顺利完成,患者症状明显减轻。次日,占恭豪主任带上来自全国各地十余位专家(脊柱内镜培训学员)查房,患者术前所有不适症状全部消失。大家都拍手叫好,都为占主任的胆大心细的创新竖起大拇指!

占主任介绍说,胸椎孔镜就是一个配备有灯光的管子,它从病人胸部侧后方进针,同时采用国内最先进的动力系统磨钻技术进入胸椎椎间孔,在内窥镜直视下可以清楚的看到突出的髓核神经根硬膜囊。然后精准摘除突出组织,用等离子射频电极修复破损纤维环。该手术创伤小,皮肤切口仅6-8mm,如同一个黄豆粒大小,出血不到20ml,术后仅缝1针,是同类手术中对病人创伤最小、效果最好的微创疗法。但与目前他的团队开展的比较成熟的腰椎孔镜手术相比,由于胸椎孔镜手术部位与胸膜很近,易损伤到胸膜及周围的血管、神经,如何建立到达胸椎管内的通道是一个首要难题,需要有极高孔镜技术基础的专家操作,手术难度更大,挑战性极强,国内外文献鲜有报道。

胸椎孔镜手术是脊椎内镜最高水平的手术。胸椎孔镜手术在温医大二院的开展,提高了我院脊柱微创的学术声誉,彰显该院脊柱微创水平在国际上的地位,也标志着该院胸椎孔镜手术在治疗胸椎间盘突出症方面走上了国际前列。

据悉,占恭豪主任多年来致力于脊柱孔镜微创技术研究,在国内率先开展的脊柱孔镜微创手术多年,个人腰椎孔镜手术量达3500例,颈椎30余例,胸椎孔镜手术已成功实施7例,经常被受邀各大医院交流,在国内享有盛誉,具有“孔镜大师”之称。今年5月份受邀在全国疼痛科建设高峰论坛做“胸椎间孔手术的注意事项”的专题讲座,在国内影响较大,得到了同行的认可。温医大二院疼痛科是国内脊柱内镜培训基地,目前培养学员已有两百余位

 

              

(三维图像)

 

 

术前CT

(术前CT

 

 

术前查房

(术前查房

 

术前磁共振 

(术前磁共振

  

 

术前定位1

(术前定位1

 

 

术前定位2

(术前定位2

 

 

突出物


(突出物)  

 

 

                                                                               

                                                                                      (作者|疼痛科 李晓静 编辑|党办 栾晨曦)

 

微信扫一扫分享
热点新闻