医院新闻
重塑食道,再续生命

作者:党办 金佳乐 来源:温州医科大学附属第二医院 发布时间:2014/11/19 0:00:00

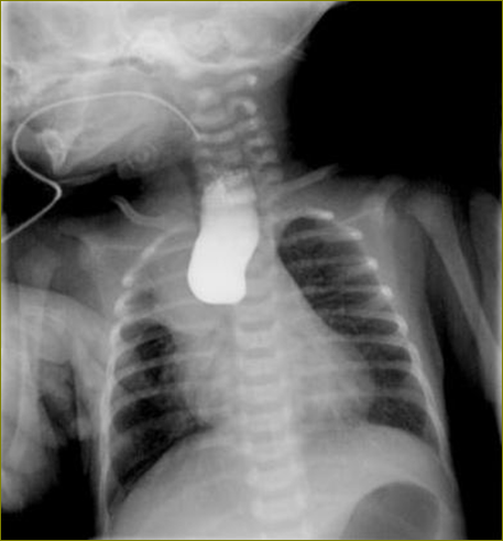
吃奶对一个刚出生的婴儿而言是一项基本生存技能,然而对刚刚来到这世界的李宝宝而言成了奢望只因他食管近端是一明显的盲端,奶水根本无法下去。

1021日对李老汉一家而言一个幸福的日子,家中迎来了一位新成员——他们的儿子出生了。李老汉还沉浸在老来得子的天伦之乐中,然而厄运紧随其后,他们很快就发现宝宝一吃奶就吐,当地医院的一张上消化道造影片子这个无辜的小生命判了“死刑”——先天性食管闭锁,气管食管瘘。这个噩耗如晴天霹雳一般落在了李老汉的头上,命运的嘲弄让李老汉一下子懵了。

先天性食管闭锁是一种新生儿期消化道的严重发育畸形,80%以上合并气管食管瘘,即III型食管闭锁。主要表现为吃奶时出现呕吐、青紫、呛咳和呼吸困难等症状。新生儿口周看起来就像螃蟹嘴一样,一直在吐泡泡。

可怜已过不惑之年的李老汉,抱着孩子多方求医,在一次又一次被拒之后,本不强壮的李老汉承受着巨大的精神打击,走投无路的他终被残酷的现实击倒,只能无奈抱着儿子回家。可生命之光又怎么会如此轻易熄灭?顽强的小生命在夜深人静时的哭声又一次催动老父的心。李老汉决心尽全力保住这家里唯一的血脉。经多方打听,李老汉了解到院在新生儿食管闭锁救治方面成功率很高。一听到这好消息,李老汉二话不说带上全家积蓄和患病的儿子来到我院寻求最后一搏

在我院心胸外科吴国伟副主任医师刚见到这位小生命时,患儿重度脱水,身体重度营养不良,经检查发现肺部感染重、右肺上叶不张,白细胞21.7*10^9/L,情况十分危急。新生儿科医师立即给予营养支持抗感染治疗,并积极开展各项术前准备。在听到医生说孩子还有救,到医护人员对他的小宝贝如此精心呵护万分焦急的李老汉也稍稍松了一口气但仍然愁眉不展的神情也透露着他内心的难言之隐。原来李老汉的家境并不富裕,他担心儿子手术费用让这个本就拮据的家庭雪上加霜。了解到老汉心事后吴主任告诉老汉目前食道闭锁矫治、食管气管瘘结扎术”在们医成功率较高,手术费用也比较低,如果李老汉在经济方面真的有困难,可以帮助他申请医院慈善基金的资助。吴主任番话像是让老汉吃了颗定心丸,紧锁的眉头也渐渐舒展了开来

1030,手术如期进行。手术室外,李老汉一家在焦急的等待着,这是一个改变这个家庭命运的时刻。手术室里,心胸外科吴国伟副主任医师和赵琦峰副主任医师正携手为这小生命进行手术,竭尽全力把这个可爱又不幸的宝宝从死神的怀抱里一点一点地抢过来。“手术非常成功。”手术室里传来了令人振奋的消息,李老汉一家喜极而泣。术后,新生儿科医护的悉心照料下小宝宝第二天便顺利拔除了呼吸机,八天后就能够正常吃奶,目前已经顺利康复出院。为了表达对医院的感激之情,李老汉开心之余,回家后还不忘给吴主任发感谢短信。

据了解,食道闭锁在早年确实是新生儿期的“不治之症”,死亡率高。近几年经术式改良,我院目前已经掌握了食道闭锁矫治、食管气管瘘结扎的技术,手术成功率非常高,年救治的多例患儿均已基本恢复健康,生长发育良好。对于家长们最关心的是否会留下后遗症等问题,心胸外科吴国伟副主任医师给出了答案“大部分食道闭锁可经手术一期矫治,只有少部分伴随其他合并症需要分期矫治,食道闭锁矫治后一般不会有后遗症,不会影响孩子生长发育和生活质量”。

                                       ( 作者林雅静    编辑|党办 金佳乐)

图为患儿术前食道造影

 

图为吴国伟副主任医师及新生儿科护士长照看患儿

 

 

微信扫一扫分享
热点新闻