大活人差点被屎憋死,原以为是玩笑话,没有想到是真的。家住温州市区的76岁的宋先生(化名)因腹痛难忍,前往温州医科大学附属第二医院急诊就诊。他万万没有想到,因为大便拉不出来,用力过猛了,竟然要动手术。
“忽然间觉得肚子里像什么东西裂开了一样,一下子剧烈疼痛,痛得人都要厥过去,真的太痛了,实在是无法用语言来形容。”宋先生回忆起当天的情况,还是很后怕。
原来,宋先生常年排便困难,有时候需要借助开塞露才能排便。和他一起钓鱼的朋友说用开塞露不好,会产生依赖性,“最近半年,我不敢用开塞露,差不多5~7天才解一次大便,每次都要用力拉,才能把大便拉出来,没有想到这次一用力,大便没有拉出来,肚子倒是痛起来了”宋先生说。

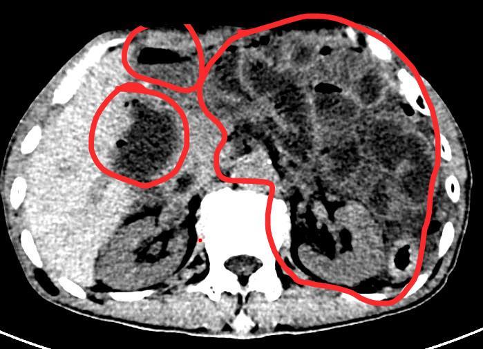
宋先生腹腔内的大便
因为实在太疼,宋先生随后前往温州医科大学附属第二医院急诊科就诊。经医院检查CT显示,宋先生乙状结肠壁穿孔及气体影渗出,腹部肠腔内容物潴留。经过积极的术前准备,医生果断紧急剖腹探查,发现宋先生直肠乙状结肠下段对系膜缘见一直径约4cm的破口,同时由于他就诊不及时,导致整个腹腔内充满大量粪便,肠管、肠系膜及大网膜等多处已形成黄色脓苔,生命危在旦夕。
手术中,宋先生出现严重感染性休克,经过医护团队的配合默契,与时间赛跑,顺利完成腹腔冲洗及肠道修补和造瘘术,随后,被转入重症医学科继续严密监护治疗。
“老年人由于身体机能衰退、饮食和生活习惯改变,便秘问题十分常见。但对于很多老年人来说,便秘不是小事。”温医大附二院重症医学科主治医师周王峰表示,一旦形成长期便秘,大便在肠道内停留过久,形成粪石,这些干燥、坚硬的粪石会在肠道内逐渐堆积,导致食物和粪便无法顺利通过肠道。初期,患者出现腹胀、腹痛等症状,随着肠道内压力逐步增加,症状会进一步加重,轻者诱发或加重肛裂、痔疮等问题,最终可能导致肠穿孔等严重后果,像宋先生就是便秘过于严重,大量的粪石刺破肠道导致肠穿孔。
在此,周王峰提醒,如出现不明原因腹痛短时间内未有缓解,应及时就诊以免延误病情。肠道穿孔如同“腹腔炸弹”,每延误1小时生存率下降10%。尤其是低位肠段的穿孔,由于其肠道内容物细菌含量极高,常常导致严重的腹腔感染并极易出现多器官功能障碍。

来源:温度新闻客户端
链接:https://wdapp.wzrb.com.cn/app_pub/xw/ww/202509/t20250911_569411.html?docId=569411